Dental Bridges (Restorative) in Los Angeles, CA

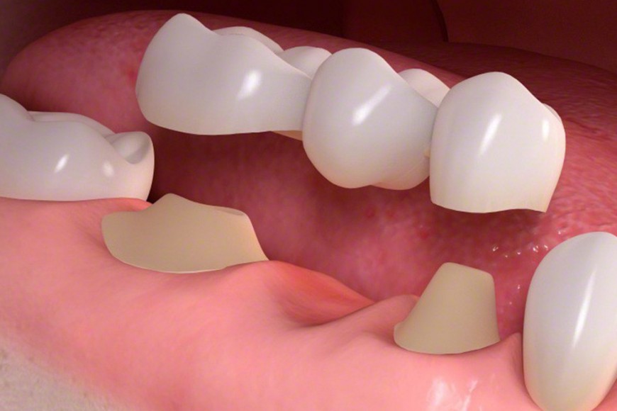
A dental bridge is a tooth replacement option to fill the gap a missing tooth or teeth leaves behind. At Carlston Dental Group, they are anchored using crowns on the teeth on either side of your gap. The artificial teeth, known as pontics, are fused between two porcelain crowns on each side to create an unbroken surface on both sides of your mouth. This creates a natural appearance while preventing the remaining natural teeth from shifting out of place.
Understanding the Need for Restorative Bridges in Los Angeles, CA
Tooth loss can occur due to decay, trauma, gum disease, or aging. Regardless of the cause, missing teeth can significantly impact your oral health and daily life. In areas like West Los Angeles, CA, where people often lead fast-paced, socially active lives, maintaining a confident and healthy smile is essential. Restorative dental bridges not only improve aesthetics but also play a crucial role in preserving function. When a tooth is lost, the adjacent teeth can begin to drift into the empty space, causing bite misalignment and jaw discomfort. Over time, this misalignment can lead to issues such as temporomandibular joint disorder (TMJ) and uneven tooth wear. Dental bridges help prevent these complications by stabilizing your bite and maintaining the integrity of your dental arch. At Carlston Dental Group, we provide custom-crafted bridges that seamlessly blend with your natural teeth. We also take into account the unique needs of our West LA patients, offering tailored treatment plans designed for long-term oral health. Our dental team uses the latest imaging and fabrication technologies to ensure precision, comfort, and functionality. Whether you're missing one tooth or several, a dental bridge is a reliable and permanent solution for tooth replacement in West Los Angeles, CA. Let us help you regain confidence in your smile and protect your oral health with this trusted restorative option. Contact us to learn more.
How Are Dental Bridges in Los Angeles, CA Made?
Dental bridges are custom-made porcelain pieces attached to two dental crowns. The crowns are there to replace your missing tooth and fit right over your existing teeth. The bridge is permanently attached to your new crowns, forming a shape that mimics the contour of your natural teeth. Before the bridge is placed in your mouth, it is carefully shaped to fit comfortably with the rest of your teeth. Once the bridge has been constructed to fit perfectly with your bite, it will be bonded to your previously restored teeth. Bridges are strong and durable but require special care to last a long time. Brushing twice daily and flossing at least once will help to remove plaque and keep your dental bridge clean. You should also schedule routine checkups and cleanings so your dentist can spot problems early on and treat them before they become more serious.
Who Is a Good Candidate for Dental Bridges in West LA?
Dental bridges are ideal for patients who have one or more missing teeth with healthy natural teeth on either side of the gap. If you live in West LA or nearby areas and are dealing with the impact of tooth loss, a consultation at Carlston Dental Group can help determine if this solution is right for you. During your visit, our dentist in Los Angeles, CA, will perform a thorough examination to assess your oral health, including the condition of adjacent teeth and the surrounding gum tissue. Ideal candidates for bridges typically have good oral hygiene, sufficient bone support, and are committed to maintaining their dental health. If your neighboring teeth are strong enough to support a bridge, and you’re not a candidate for dental implants in West Los Angeles, CA, due to health or budget reasons, then a dental bridge offers an excellent alternative. We also serve patients throughout West Los Angeles, CA, who may want a less invasive and faster option than implants. With proper care, bridges can last 10 years or more, making them a long-term investment in your oral wellness. Our team at Carlston Dental Group works with you every step of the way—from planning to placement to follow-up care—so you can enjoy lasting results and a renewed sense of confidence in your appearance and bite functionality.

The Benefits of Dental Bridges in West LA
A dental bridge is a natural-looking, long-lasting way to replace missing teeth. Unlike dentures or partials, a bridge is permanently fixed in your mouth. The bridge uses dental crowns on the healthy teeth on either side of the gap to anchor the bridge and create a healthy and beautiful smile.
One of the most significant benefits of a dental bridge is that it prevents your other teeth from shifting into space. Shifting teeth can cause chewing and speaking issues, which can also cause problems with your jaw joint. With a bridge in place, your teeth will stay in place and prevent other issues from occurring.
Another benefit of a bridge is that it restores your smile and gives you back self-confidence. Losing a tooth can affect the way you talk and the way you feel about yourself. A bridge replaces the missing tooth and can bring back your confidence and give you a smile you are proud to show off.
To know more about how a dental bridge can rejuvenate your smile and improve your oral health, visit Carlston Dental Group at 2472 Overland Ave, Los Angeles, CA 90064, or call (310) 838-0844. We look forward to helping you restore your smile with permanent, beautiful restorations like dental bridges.
Location
2472 Overland Ave,
Los Angeles, CA, CA, 90064
Office Hours
MON9:00 am - 6:00 pm
TUE7:00 am - 4:00 pm
WED9:00 am - 6:00 pm
THU - FRI7:00 am - 4:00 pm
SAT - SUNClosed
