Fluoride Treatment in Los Angeles, CA

If your tooth enamel is weakened, it’s easier for cavities to form and bacteria to thrive in your mouth. But you can take steps to protect your tooth enamel from damage with fluoride treatments. The mineral naturally occurs in certain foods and drinks, including seafood, tea, vegetables, etc. You can also find it in mouthwash and toothpaste. Professional fluoride treatments at Carlston Dental Group, may also be helpful. These appointments involve the dentist applying a gel containing fluoride to the teeth. It can help to strengthen your tooth enamel over time. It can also aid in cavity prevention by making the teeth more resistant to plaque buildup. This can prevent the formation of weak spots in the teeth and make it easier for your smile to stay strong and healthy.
How Does Fluoride Help Prevent Tooth Decay?
Fluoride is a mineral that helps prevent cavities by making the tooth more resistant to acid attacks from plaque, bacteria, and sugars in the mouth. It also reverses early signs of decay, helping teeth resist further damage and repairing minor damage that may already exist. It can also help strengthen enamel to prevent further damage from acidic foods and drinks or teeth-grinding habits.
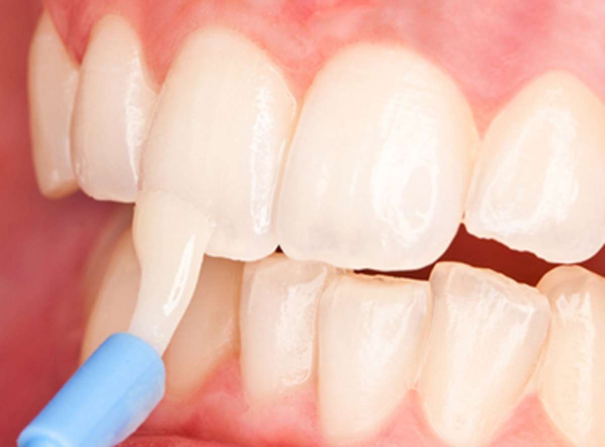
Topical fluoride treatments like varnishes and gels are dental offices' most widely used methods. They’re also very effective at preventing tooth decay. These treatments are applied to the tooth’s surface by a dentist or hygienist after the teeth have been thoroughly cleaned and polished to avoid interference from other oral issues. Patients may need multiple applications over a few months to protect their teeth.
Some rinses and toothpaste can be used daily at home for patients who don’t want to use a topical fluoride treatment. These products contain much lower fluoride levels than the treatments used in the office, so the effects are not as long-lasting. Brushing with fluoride toothpaste should be a regular oral hygiene routine to support good oral health. Suppose a patient is at a greater risk for tooth decay because of poor oral hygiene practices or other medical conditions. In that case, they should consider a professional-strength fluoride treatment to help reduce this risk and keep their teeth healthy.

Is Fluoride Treatment Safe?
Yes, the treatment is safe and widely used around the country. When the treatment is administered by a professional with proper training, it is entirely safe for patients of all ages, even children. It’s recommended that children have professional fluoride treatments as part of their regular dental care regimen. Professional teeth cleanings remove plaque and debris from the mouth while strengthening tooth enamel with fluoride.
A simple fluoride treatment can go a long way toward keeping your teeth healthy and strong. To learn more about the benefits of fluoride treatments, visit Carlston Dental Group at 2472 Overland Ave, Los Angeles, CA 90064, or call (310) 838-0844.
Location
2472 Overland Ave,
Los Angeles, CA, CA, 90064
Office Hours
MON9:00 am - 6:00 pm
TUE7:00 am - 4:00 pm
WED9:00 am - 6:00 pm
THU - FRI7:00 am - 4:00 pm
SAT - SUNClosed
